Addressing missing, damaged, or diseased teeth are vital to improving the health and function of your smile. Restoring your smile will improve not only your oral health but also your daily quality of life and overall physical well-being. As highly trained restorative dentists in Skokie, IL, Dr. Abraham Stein and Dr. Zachary Weiss can provide comprehensive solutions for many restorative dentistry concerns.
Our office is equipped with the latest dental technology and materials to aid in many of our restorative procedures. Our team of dental professionals is committed to dental excellence and employs the most advanced methods and treatments to help improve the health and function of your natural teeth. The goal of your restorative dental care is to treat both the cause and the effect of your dental problem so that you can enjoy a stable, lasting outcome.

Replacing Missing Teeth
As an experienced prosthodontist in Skokie, IL, Dr. Stein offers comprehensive dental care with a focus on addressing missing and damaged teeth. For patients who want to explore their treatment options for missing teeth, our team can work with you to assess your needs and recommend the best solution for your smile. By working collaboratively with our patients, we are able to yield long-lasting, high-quality results that allow them to eat, speak, and chew confidently again.
- Dental Implants
- Dentures
- Dental Bridge
- Prosthodontics
- All-on-Four dental implants
Even one missing tooth can affect the health and condition of your smile. When a tooth is lost, the bone under the tooth begins to deteriorate. As a result, patients may experience facial sagging, shifting teeth, and difficulties eating and speaking. Replacing missing teeth is not only an integral part of improving dental function, but it can also improve your oral health and enhance your confidence.
Visit the professionals at The Stein Center for Advanced Dentistry to explore your teeth replacement options.

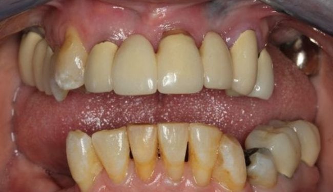
Before Restorative Dentistry in Skokie, IL

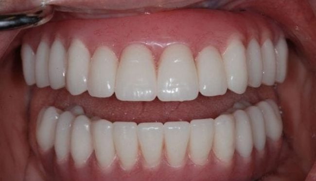
After Restorative Dentistry in Skokie, IL
Restoring Damaged Teeth
Tooth damage can occur for several different reasons. Some of the most common reasons for tooth damage are tooth decay, gum disease, sports-related injury, dental trauma, TMJ disorder, and poor dental habits. Did you know that certain medications and pharmaceutical drugs can contribute to tooth loss and gum disease?
No matter the cause, it is important that tooth damage is addressed promptly to avoid further complications. At The Stein Center for Advanced Dentistry, we offer an extensive range of restorative dentistry treatments to address damaged teeth.
Patient Review
Restorative Dentistry FAQs
Restorative dentistry returns your smile to full functionality. Learn more by reading the answers to these often-asked patient questions.
Do you offer Zirconia crowns?
Yes, we place zirconia crowns for a superior result. A zirconia crown provides a metal-free, biocompatible, and durable option for restoring a tooth that needs to withstand strong biting forces or has significant damage to repair. Zirconia, like porcelain, can match your adjacent teeth and has a comfortable, smooth surface.
What is my best option to replace missing teeth?
Your best option will depend on a variety of things. The type of teeth you are missing, the location of each open socket, your gum health, and more are considered. The most popular option for replacing missing teeth is dental implants for their permanence, promoting bone growth and natural appearance. Consider coming for a dental exam and consultation to find the best treatment for your issue.
Does insurance cover restorative dentistry?
Some restorative dental procedures will be covered by insurance, and others may be partly covered. We will coordinate with your dental insurance provider to determine what they will cover you. Be sure to contact your insurance provider for specific details. We also offer financing options.
What is a smile makeover?
A smile makeover is a comprehensive treatment plan designed to improve and enhance your smile. The process begins by addressing all underlying dental concerns to restore a healthy oral foundation. Then, cosmetic dental services improve the appearance of your smile.
How do I know if I need restorative dentistry?
You may need restorative dentistry if you have cavities, cracked teeth, missing teeth, or other oral health issues. Pain, sensitivity, or difficulty chewing are common signs that treatment is needed. Regular dental check-ups can also detect problems before they worsen. Your dentist will recommend the best solutions based on your condition.
Are restorative dental procedures painful?
Modern dentistry uses advanced techniques and anesthesia to minimize discomfort during procedures. Most patients feel little to no pain during treatment. Some mild soreness or sensitivity may occur afterward but typically subsides quickly. Your dentist will ensure you are as comfortable as possible throughout the process.
Improve The Function of Your Smile in Skokie, IL
The Stein Center for Advanced Dentistry is your full-service dental office located in Skokie, IL. We warmly welcome new patients to visit our dental practice for the care they need.
During your visit, we’ll perform a comprehensive dental exam and assess the condition of your teeth, gums, and jaw to determine which solution is right for you. To schedule an appointment, call 847-750-3125 or request an appointment online.
