Are you unsatisfied with the appearance of your smile? At The Stein Center for Advanced Dentistry, we focus on the artistry and science behind our cosmetic dental services near you. We also understand that every patient is different and has unique dental issues they would like to address. That’s why we provide customized cosmetic dental treatment plans to help our patients’ fix their unique issues.
Our dental care team will work with you to restore beauty and balance to your natural smile. We can fix uneven teeth, misshapen teeth, stained teeth, crooked teeth, and more!
Our cosmetic dentists in Skokie, IL, provide modern dental procedures. We will even let you preview your results with the help of our advanced dental technology. You will be confident in the final product after visiting us for affordable cosmetic dental services.

Cosmetic Dentistry Near You in Skokie, IL
A personalized smile makeover in our Skokie, IL, dental office can have a subtle or dramatic effect. However, it will all depend on your unique aesthetic goals, budget and more. At The Stein Center for Advanced Dentistry, we provide top quality cosmetic dental services for our patients.
Our dentists design custom smile makeover plans to swiftly address your unique dental needs. Your customized smile makeover may include some of the following cosmetic treatments.
Sometimes poor dental habits, dental trauma, and years of wear and tear can affect the appearance of your smile. We offer more treatment options than ever before thanks to our modern and affordable cosmetic dentistry.
A cosmetic dental treatment plan from our dentists will improve the look of your mouth and address underlying dental problems. For example, many cosmetic treatments can indirectly fix untreated dental issues that could compromise your results. Your beautiful new smile will also be healthier and support lasting dental health.
Teeth Whitening
Teeth whitening is a cosmetic dental procedure that helps to improve the look of your teeth. It is one of the most popular cosmetic treatments available today. You can use teeth whitening to lighten discolored teeth, and remove set-in stains from your teeth. You can whiten your teeth in a dentist’s office or at home with over-the-counter products.
The results are usually immediate and long-lasting, making it an ideal choice for those looking to improve their smile. We offer professional take-home and in-office whitening treatments to effectively brighten your stained teeth. To learn more about our teeth whitening at our office, visit our Teeth whitening page.
Invisalign®
Invisalign is an alternative to traditional metal braces. We use clear aligners to correct a wide range of dental issues. Issues like overcrowding, gaps between teeth, overbites, and underbites. It is a system of clear removable aligners that gradually shifts your teeth into proper alignment.
Dr. Stein will take impressions of your teeth, discuss the treatment plan with you, and provide instructions on how to use the aligners correctly. With regular visits throughout the treatment, you can be sure that your smile will look its best in no time! To learn about strengthening your teeth using Invisalign clear aligners, visit Invisalign.
Porcelain Veneers
One of our most popular cosmetic dental procedures in or office is porcelain veneers. They are thin shells of porcelain that Dr. Stein bonds to the front surface of teeth to improve their appearance. We can use them to correct a variety of aesthetic issues such as stubborn tooth stains, chips, gaps, and minor misalignment.
This procedure is minimally invasive and can provide long-lasting results with proper care. We offer natural-looking, long-lasting veneers to address chipped teeth, stained teeth, and gapped teeth. To learn about fixing imperfections in your smile, visit Porcelain veneers.
Tooth Bonding
Our dental office uses tooth-colored composite resin to cover the front or top surface of your imperfect teeth. During the tooth bonding procedure, our dentist shapes the resin and bonds it directly to the prepared teeth using a special light.
Dr. Stein uses dental bonding in cases where patients have minor tooth damage but want to avoid placing permanent veneers on their teeth. We can address minor chips, cracks, staining, and gaps in the teeth using dental bonding. To learn more about repairing your teeth, visit Tooth bonding.
Dental Implants
If you are missing one or more teeth, we offer dental implants to restore health, beauty, and function to your smile. Dental implants can replace missing teeth and improve the appearance of your smile. The titanium implant acts as an artificial tooth root, providing a secure foundation for a dental crown, bridge, or denture.
Our practice uses dental implants if you lost your natural teeth because of injury, disease, or decay. To learn about replacing your missing teeth using dental implants, visit Dental implants.
Dental Crowns
We place dental crowns after root canals to protect your tooth from further infection. Dental crowns are a common restorative dental treatment. But our dentists can provide them to give you a more aesthetically pleasing smile too. Dental crowns can help restore your tooth’s original shape, size and strength after damage or decay.
If you properly maintain your dental crowns, they can last for a long time. Taking steps such as brushing and flossing daily can help to ensure their longevity. To learn more about our dental crown services, visit Dental crowns.
Patient Review
Cosmetic Dentistry FAQs
Read answers to questions about cosmetic dentistry in Skokie, IL.
What is the most popular cosmetic dental treatment?
The #1 most popular cosmetic dental treatment is teeth whitening. People choose it because you can get a brighter smile in just one or two visits. Treatment is also non-invasive and can remove years of stains from coffee, soda, or aging.
What is a smile makeover?
A smile makeover is a customized plan to improve the way your teeth look and function. It combines different cosmetic and restorative dental treatments to give you your ideal smile.
It can fix:
- Discolored or stained teeth
- Chipped, cracked, or worn-down teeth
- Gaps or crooked teeth
- Missing teeth
- Gummy smiles (when too much gum shows)
- Uneven tooth sizes or shapes
First, you’ll meet with Dr. Stein to discuss your smile goals. He’ll examine your teeth and review your cosmetic concerns. Then Dr. Stein will create a plan that combines multiple cosmetic treatments. The goal of a smile makeover is to boost your confidence and improve the appearance and function of your teeth and gums.
Can cosmetic dentistry fix tooth gaps?
Yes, cosmetic dentistry offers several options to fix tooth gaps. Dentists often use dental bonding, applying a tooth-colored resin to close the space. Another popular method is porcelain veneers, which are thin shells covering the teeth to close gaps perfectly.
For more significant adjustments, Invisalign or traditional braces can gradually move teeth to eliminate gaps. Dr. Stein will recommend the best treatment for you.
Can I get Invisalign if I’ve had traditional braces before?
Yes, you can get Invisalign even if you’ve had braces before. Many people use Invisalign to correct minor shifts after previous orthodontic treatment. Dr. Stein will evaluate your teeth to determine if Invisalign suits your needs. It offers a convenient option to maintain or enhance your smile without needing traditional braces again.

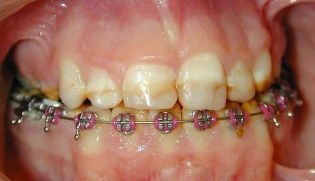
Before Cosmetic Dentistry in Skokie, IL

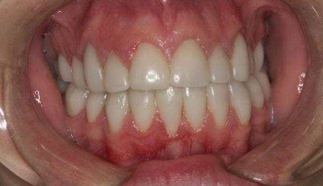
After Cosmetic Dentistry in Skokie, IL
How long does a porcelain veneer procedure take?
A porcelain veneer procedure typically requires two visits to your dentist. During the first visit, Dr. Stein prepares your teeth, takes impressions, and selects the veneer shade. This visit usually takes 1 to 2 hours.
About 1 to 2 weeks later, Dr. Stein bonds the veneers to your teeth. This appointment also takes about 1 to 2 hours. From start to finish, you can get veneers in a few weeks.
Is bonding suitable for children?
Dental bonding is suitable for children in many cases. But you should consult a pediatric dentist to determine if it’s the best option for your child’s situation. The dentist will consider factors such as the child’s age and tooth condition. Our office would also consider the likelihood of the tooth a dentist having to replace with an adult tooth in the future.
How painful is getting porcelain veneers?
Getting porcelain veneers is generally not painful. We numb the area with local anesthesia to ensure you’re comfortable during the procedure. You might feel some mild discomfort or sensitivity when the anesthesia wears off. This sensitivity typically goes away after a few days. Our dentist can recommend over-the-counter pain relievers if you need them.
Can I get cosmetic dentistry if I have sensitive teeth?
Cosmetic dentistry is generally safe for people with sensitive teeth, but it depends on the procedure and your specific situation. Some treatments, like teeth whitening, can make sensitivity worse for a short time. Others, like veneers or bonding, usually don’t cause extra sensitivity if done correctly.
Talk to Dr. Stein before you get cosmetic dental work. He can check your teeth and recommend the best options for you. He might suggest treating the sensitivity first, like using special toothpaste or other methods.
Schedule A Cosmetic Dental Consultation Today
Visit The Stein Center for Advanced Dentistry to explore your cosmetic dental options in Skokie, IL. Dr. Stein and Dr. Weiss can work with you to create your personalized smile makeover plan. To schedule an appointment for a cosmetic consultation, call 847-750-3125 or request an appointment online.
We are currently welcoming patients from Northbrook, Evanston, and Highland Park to visit our Skokie, IL, cosmetic dental office.
