Change the appearance of your smile with porcelain veneers. You can achieve the smile of your dreams in as few as two visits to our Skokie, IL dental office. Dr. Abraham Stein and Dr. Zachary Weiss offer custom porcelain veneers that we tailor to your every need. We take a team approach in cosmetic dental care to ensure that our results meet your goals, budget, and dental needs.
We understand that no two smiles are alike. So we work closely with our patients to assess their needs and design a custom smile makeover plan that is right for them. Our porcelain veneers are great for fixing minor changes to your smile, to providing a complete smile transformation. Our team has the technology, knowledge, and professional-grade materials to help you achieve your dream smile.

What are Porcelain Veneers?
A porcelain veneer is a thin, custom-made shell crafted from high-quality dental porcelain. The purpose of a dental veneer is to cover the front surface of a tooth. Your dentist will securely bond it in place to improve a tooth’s appearance.
Porcelain mimics the natural look of tooth enamel. This material also provides resilience and strength comparable to natural teeth.
What Can Porcelain Veneers Address?
Porcelain veneers offer an extensive range of benefits for patients who want to improve the look of their smile. With porcelain veneers, you can address many common cosmetic dental concerns and achieve a natural-looking result. For instance, veneers can help create a more symmetrical smile for patients with a crooked tooth or two. In addition, veneers can also address issues such as chips, fractures, uneven teeth, stained teeth, and damaged teeth.
Veneers are thin, ceramic shells that our dentist permanently bonds to the front and sides of your teeth to create a seamless smile. Dental-grade ceramic closely mimics the appearance of the natural teeth. Which makes it one of the most ideal compounds for natural-looking veneers.
At the Stein Center for Advanced Dentistry, we strive for dental excellence. We use the highest quality materials and state-of-the-art dental technology to craft your high-quality veneers.
The Benefits of Choosing Dental Veneers to Improve Your Smile
Some of the benefits of porcelain veneers include:
- Resembles the natural teeth
- Customizable to meet your cosmetic goals
- Can last many years with routine care
- Easy to maintain
- Can address a wide range of cosmetic concerns
- Enhance the appearance of your smile
Patient Review
What To Expect During The Porcelain Veneers Process
Understand how porcelain veneers work and what you can expect from the procedure. If porcelain veneers are right for you, your treatment will begin with an in-depth dental exam. During your initial exam, Dr. Weiss or Dr. Stein will determine if we need to address any underlying concerns.
We need to make sure you have good oral health before providing you with dental veneers. We also need to make sure you are free of periodontal disease and tooth decay. Our dentist will need to address all dental issues before starting any cosmetic work so that your results last.
Next, we will take high-quality digital impressions and a shade analysis of your teeth. This will aid in the fabrication of your custom veneers. We will send the impressions to our dental lab, where a master ceramist will craft your veneers.
During the fabrication process, Dr. Stein or Dr. Weiss will gently file your natural teeth. We will file off a little bit of the front to create an adequate bonding surface for your new veneers.
Because of the amount of preparation our dentist does to your teeth, dental veneers are a permanent restoration. With proper care and excellent oral hygiene, custom porcelain veneers can last many years.

Before Porcelain Veneers in Skokie, IL

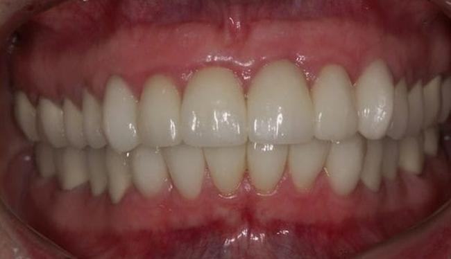
After Porcelain Veneers in Skokie, IL
Porcelain Veneers FAQs
You probably still have many questions about this cosmetic dental treatment. The following are answers to some of the most frequently asked questions about porcelain veneers.
Do teeth decay under veneers?
While there is no evidence that dental veneers cause tooth decay or damage, it is possible for teeth to decay under veneers. Cavities can form behind veneers, resulting in tooth decay.
This can happen for many reasons. A dentist can incorrectly place a veneer, leaving spaces where bacteria can thrive. Or maybe the dentist did not completely clean the tooth before placing the veneer. Maybe you don’t wash your mouth and brush your teeth well enough.
Whatever the reason, this will threaten your oral health and can shorten the lifespan of your veneers. If your dentist removes a veneer for any reason, your natural tooth may begin to feel sensitive. However, the dentist should be able to fix the decay and place a new veneer.
Do porcelain veneers break easily?
Porcelain veneers do not break easily. They are durable and are slightly stronger than natural tooth enamel. However, veneers can break or crack, so it’s still important to be careful. For example, do not chew on ice or use your teeth to open things as this can cause damage to your porcelain veneers.
Do veneers stay white?
Dental veneers that consist of porcelain are highly stain-resistant, so they will stay white for quite some time. A proper diet and a good oral care routine can help veneers stay white longer. On average, they remain white for about 10 years before you need to replace them.
Coffee, red wine, and any deeply-colored foods and drinks are more likely to stain your veneers. Furthermore, your dentist can not whiten porcelain prosthetics such as veneers.
Can porcelain veneers be used to fix crooked teeth?
Porcelain veneers can indeed fix mildly crooked teeth. We call this “instant orthodontics” in the dental world. They cover the front surface of your teeth, creating the appearance of a straight smile. Veneers work best for slight misalignments. For severely crooked teeth, traditional orthodontics might be a better choice.
Will porcelain veneers stain?
Porcelain veneers are highly resistant to staining. Unlike natural teeth, porcelain is a non-porous material. It doesn’t absorb stains from coffee, tea, wine, or smoking as easily. However, maintain good oral hygiene and visit your dentist regularly to keep your veneers and surrounding teeth in optimal condition.
How long do porcelain veneers last?
Porcelain veneers usually last 10 to 15 years with good oral care. Some patients enjoy their veneers for 20 years or more. Their lifespan depends on their oral hygiene habits and lifestyle. When veneers do wear down, your dentist can replace them.
Get Porcelain Veneers from The Stein Center for Advanced Dentistry
Completely transform your natural smile at The Stein Center for Advanced Dentistry. Visit Skokie cosmetic dentists Dr. Stein and Dr. Weiss for the care you need. We take a personalized approach to cosmetic care to ensure our patients are receiving individualized, high-quality dentistry.
Our goal is to help our patients achieve their best smile through comprehensive treatment planning and personalized care. To learn more about porcelain veneers and see how they can benefit you, call 847-750-3125 or request an appointment online.
