Advanced training, state-of-the-art technology, lasting results.
At The Stein Center for Advanced Dentistry, we offer full-service dental implants. Dr. Abraham Stein has undergone advanced restorative and implant dentistry training.
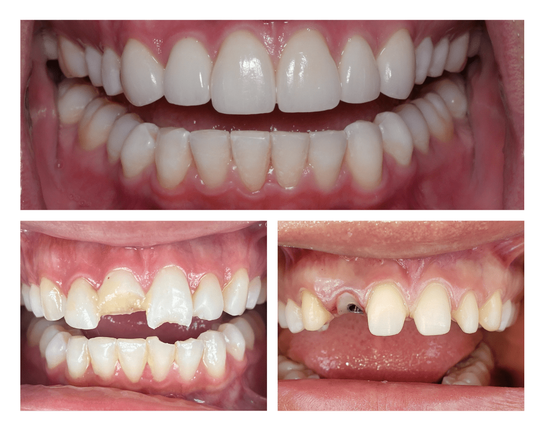
Dental implants are a popular and effective way to replace missing teeth. Our dental implants can serve as a safe and durable foundation for a custom dental crown for those missing one tooth.
Dr. Stein can also strategically place four implant posts in your jaw to support a custom dental bridge or custom denture! We call this an All-on-four dental implant prosthetic. This type of dental implant is best for our patients missing several or all their teeth.
Familiarize yourself with the anatomy of a dental implant to understand how they work. A dental implant consists of three parts: the implant post/body, abutment and crown or dental prosthetic.
The implant body is a titanium cylinder that our prosthodontist, or oral surgeon, surgically places in the jawbone. It serves as an anchor for the replacement tooth or a dental prosthetic. The abutment attaches to the implant post and it holds the crown or prosthetic in place.
The crown is custom-made from porcelain or ceramic material and it looks just like a natural tooth. Together, these three components make up a complete dental implant that can provide years of reliable use.
THE DENTAL CROWN
A custom made crown is the final restoration for your single tooth implant, blending seamlessly with your smile.
THE ABUTMENT
Placed on the titanium post, the abutment connects the new prosthetic tooth root and tooth crown.
THE SCREW
Replacing the missing tooth root, the implant screw is placed in your jaw bone to secure a new prosthetic tooth.
Dr. Stein is an experienced implant dentist and prosthodontist in Skokie, IL. He utilizes high-end dental technology in the planning, implantation, and restoration of all types of dental implants. This allows us to provide our patients with the most detailed, accurate, and comfortable results!
It also allows us to provide the most precise and predictable results. By using tools like the Osstell IDx handheld device, we are able to take a noninvasive approach to assess implant stability. It also helps us predict every stage of the osseointegration process.
Are you unsatisfied with the look of your smile because of missing teeth?
Then visit our Skokie, IL, dental office for a dental implant consultation. We believe in building relationships and taking the time to understand your specific needs to provide personalized care.
Dr. Stein is a dental implant specialist. He provides thorough dental exams for our patients who are missing one or several teeth. Visit us to determine if dental implants are the best option for your tooth loss.
Dr. Stein has completed over 2,000 All-On-4® immediate load implant cases during his career. Having completed this many cases places Dr. Stein in the top 1% of dentists in the country for the All-On-Four® treatment option.
Dr. Stein developed an implant identification tool that has been used by dentists throughout the world. He lectures nationally and is published in the International Journal of Oral and Maxillofacial Implants, a peer reviewed, evidence-based dental journal. Dr. Stein is a member of the Academy of Osseointegration, American College of Prosthodontists, American Dental Association, and the Chicago Dental Society. Dr. Stein grew up in Montreal, Canada. He spent time in New York, Saint Louis, and Columbus during his training.
Currently, he resides in Chicago, where he’s lived for the past 20 years. Dr. Stein was selected from an elite group of dental professionals to serve on the Clinical Advisory Board for a national dental company. He enjoys training and teaching other dental professionals interested in learning and delivering high quality dental care.

Replacing missing teeth can provide numerous benefits to your overall oral health and appearance. Replacing lost teeth can improve the look of your smile, and restore the function of your bite and chewing ability.
Additionally, replacing missing teeth can help prevent other dental issues. Issues such as jawbone deterioration, gum disease, and shifting of remaining teeth. Replacing missing teeth can also provide psychological benefits such as increased confidence and improved self-esteem.
You should consider several factors to see if you are an ideal candidate for dental implants. During your consultation, Dr. Stein will discuss your medical history, cosmetic goals, and oral health needs. We will help you decide which treatment option best suits your needs. Keep in mind that certain types of medical conditions may affect your eligibility for dental implants.
When determining candidacy for the dental implant procedure, our team will assess your smile for the following:
We can provide many procedures to our patients who are not ideal candidates at the moment. In many cases, our patients undergo a successful implant procedure and achieve the smile of their dreams.
If you are searching for a solution for missing teeth, you may want to consider dental implants. At The Stein Center for Advanced Dentistry, we offer comprehensive treatment plans for patients with missing teeth. Our team of dentists take a patient-first approach to dentistry. We work with each patient on an individual basis to deliver the care they need.
Our dental implants last a long time with daily brushing and flossing and proper care. Visit our dental implant specialist in Skokie for an exam and consultation today! To schedule your appointment, call 847-750-3125 or request an appointment online.
The Dental Implant Process Dental Implant FAQs
Benefits of Implants Dental Implants vs Dentures Cost of Implants

Tooth implants are usually not noticeable in the mouth. Labs design them to look and function like natural teeth. The implant goes into the jawbone and holds a crown that matches your other teeth. Once the procedure is complete, the implant blends seamlessly with your natural smile, making it hard for others to tell the difference.
Learn MoreNo, dental implants are not removable like dentures. Implants are permanently fixed in your jawbone and act like natural teeth. On the other hand, you can take dentures out for cleaning and sleeping. Implants provide a stable and long-term solution, while dentures offer a removable option.
Learn MoreA bone graft involves adding bone material to your jaw. You might need one if your jawbone lacks the strength or thickness to support a dental implant. This procedure ensures the implant has a solid foundation, keeping it secure and functional. Dentists often recommend bone grafts when bone deterioration occurs after long-term tooth loss.
Learn MoreYes, a dentist or oral surgeon can sometimes provide dental implants in one day. The procedure is called “same-day implants” or “teeth in a day.” In this process, the dentist places the implant and a temporary crown in a single visit. However, not everyone is a candidate for this approach. Your dentist will assess your bone density and other factors to determine if same-day implants suit you. Regular follow-ups are necessary to ensure proper healing and implant stability.
Learn MoreNo, dental implants and prosthetic teeth themselves cannot develop cavities or decay. However, the surrounding gums and bone can develop infections or gum disease. Regular brushing, flossing, and dental exams are important to keep your mouth healthy.
Learn MoreDental implants do not typically trap food more than natural teeth. They fit securely in your jaw, and the crown sits tightly against your gums. This reduces the gaps where food can stick. However, food particles can still accumulate around an implant just like they can around a natural tooth. Regular brushing, flossing, and dental check-ups help keep your implants and mouth clean and healthy.
Learn More